Bronşektazi Uyarısı: Belirtileri Göz Ardı Etmeyin!
Bronşektazi Uyarısı: Belirtileri Göz Ardı Etmeyin!
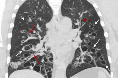
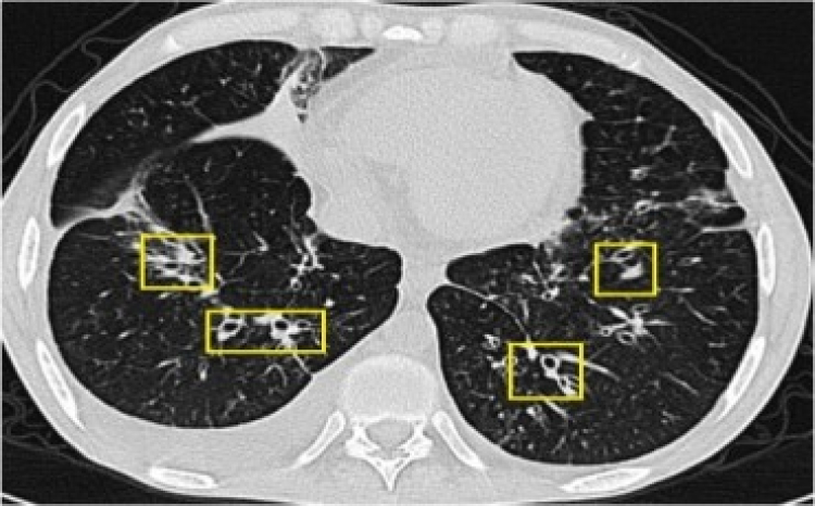
Bronşektazi, akciğerlerde hava taşıyan bronşların iltihaplanması sonucu genişleyerek kronik bir rahatsızlık oluşturuyor.
Haber Giriş Tarihi: 06.07.2024 16:03
Haber Güncellenme Tarihi: 06.07.2024 16:03
Kaynak:
ELİF KUŞ BEŞİK
https://www.yenimarmaragazetesi.com/
Bronşektazi Belirtilerine Dikkat!
Sağlık Bakanlığı Koronavirüs Bilim Kurulu Üyesi ve Göğüs Hastalıkları Uzmanı Prof. Dr. Tevfik Özlü, akciğerlere hava taşıyan bronşların iltihap ve enfeksiyon nedeniyle genişlediği kronik bir akciğer rahatsızlığı olan bronşektazi hakkında bilgi verdi. Özlü, "Bronşektazi belirtileri pek çok hastalıkla karıştırılabiliyor. Hastalar uzun yıllar doğru tanı alamıyorlar ve bu da tedaviyi geciktiriyor" dedi.
Yanlış Tanılar ve Geciken Tedavi:
Bronşektazi hastalarının sıklıkla astım, KOAH veya zatürre gibi farklı hastalıklarla tedavi edildiğini belirten Özlü, "Bu hastalıktaki belirtiler pek çok akciğer hastalığıyla karışabiliyor. Yanlış tanılar ve geciken tedavi, hastaların durumunu daha da kötüleştirebilir. Erken teşhis ve doğru tedavi hayati önem taşıyor" diye konuştu.
Erken Teşhis ve Tedavi Hayati Önem Taşıyor:
Bronşektazi belirtileri gösteren hastaların bir an önce uzman bir doktora başvurması gerektiğini vurgulayan Özlü, "Tedavinin gecikmesi, hastaların yaşam kalitesini düşürebilir ve hastalığın ilerlemesine neden olabilir. Bu yüzden bronşektazi belirtileri olan kişilerin vakit kaybetmeden tıbbi yardım alması çok önemli" dedi.
Prof. Dr. Tevfik Özlü'nün bu önemli uyarıları, bronşektazi hastalığına dikkat çekmek ve erken teşhisin önemini vurgulamak adına büyük bir öneme sahip. Eğer siz de benzer belirtiler yaşıyorsanız, bir uzmana danışmayı ihmal etmeyin.
Sizlere daha iyi hizmet sunabilmek adına sitemizde çerez konumlandırmaktayız. Kişisel verileriniz, KVKK ve GDPR
kapsamında toplanıp işlenir. Sitemizi kullanarak, çerezleri kullanmamızı kabul etmiş olacaksınız.
En son gelişmelerden anında haberdar olmak için 'İZİN VER' butonuna tıklayınız.
Bronşektazi Uyarısı: Belirtileri Göz Ardı Etmeyin!
Bronşektazi, akciğerlerde hava taşıyan bronşların iltihaplanması sonucu genişleyerek kronik bir rahatsızlık oluşturuyor.
Bronşektazi Belirtilerine Dikkat!
Sağlık Bakanlığı Koronavirüs Bilim Kurulu Üyesi ve Göğüs Hastalıkları Uzmanı Prof. Dr. Tevfik Özlü, akciğerlere hava taşıyan bronşların iltihap ve enfeksiyon nedeniyle genişlediği kronik bir akciğer rahatsızlığı olan bronşektazi hakkında bilgi verdi. Özlü, "Bronşektazi belirtileri pek çok hastalıkla karıştırılabiliyor. Hastalar uzun yıllar doğru tanı alamıyorlar ve bu da tedaviyi geciktiriyor" dedi.
Yanlış Tanılar ve Geciken Tedavi:
Bronşektazi hastalarının sıklıkla astım, KOAH veya zatürre gibi farklı hastalıklarla tedavi edildiğini belirten Özlü, "Bu hastalıktaki belirtiler pek çok akciğer hastalığıyla karışabiliyor. Yanlış tanılar ve geciken tedavi, hastaların durumunu daha da kötüleştirebilir. Erken teşhis ve doğru tedavi hayati önem taşıyor" diye konuştu.
Erken Teşhis ve Tedavi Hayati Önem Taşıyor:
Bronşektazi belirtileri gösteren hastaların bir an önce uzman bir doktora başvurması gerektiğini vurgulayan Özlü, "Tedavinin gecikmesi, hastaların yaşam kalitesini düşürebilir ve hastalığın ilerlemesine neden olabilir. Bu yüzden bronşektazi belirtileri olan kişilerin vakit kaybetmeden tıbbi yardım alması çok önemli" dedi.
Prof. Dr. Tevfik Özlü'nün bu önemli uyarıları, bronşektazi hastalığına dikkat çekmek ve erken teşhisin önemini vurgulamak adına büyük bir öneme sahip. Eğer siz de benzer belirtiler yaşıyorsanız, bir uzmana danışmayı ihmal etmeyin.
En Çok Okunan Haberler