Özel Denizli Tekden Hastanesinde bir dönem başarılı çalışmalara imza atan Radyoloji Uzmanı Dr. Nevzat Karabulut ve ekibinin, akciğer damarındaki pıhtıların tanısına dadyasyonsuz çözüm sağlayan bilimsel çalışması uluslararası literatürde yankı uyandırdı.
Haber Giriş Tarihi: 23.02.2026 21:38
Haber Güncellenme Tarihi: 23.02.2026 21:39
Kaynak:
İHA
Özel Denizli Tekden Hastanesinde bir dönem başarılı çalışmalara imza atan Radyoloji Uzmanı Dr. Nevzat Karabulut ve ekibinin, akciğer damarındaki pıhtıların tanısına dadyasyonsuz çözüm sağlayan bilimsel çalışması uluslararası literatürde yankı uyandırdı.
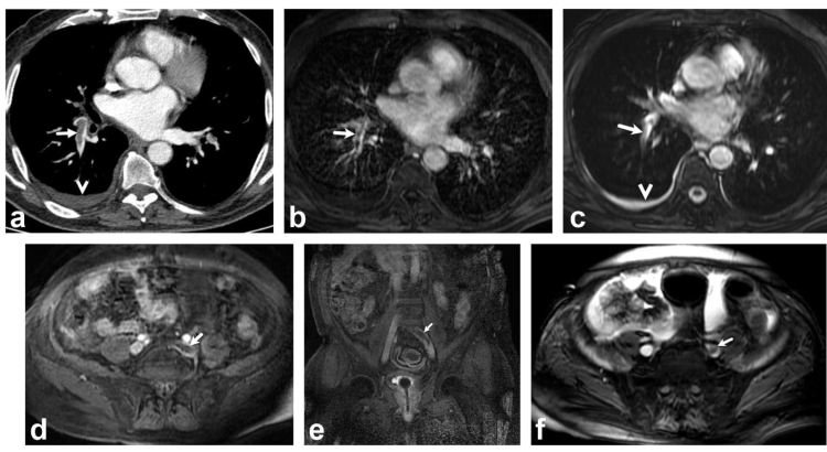
Bir dönem Denizli Tekden Hastanesinde de çalışan ve çalışmalarına ABD’de devam Dr. Nevzat Karabulut ve ekibinin yaptığı, British Journal of Radiology dergisinde yayımlanan "Diagnostic performance of contrast-enhanced and unenhanced combined pulmonary artery MRI and magnetic resonance venography techniques in the diagnosis of venous thromboembolism" başlıklı araştırmada manyetik rezonans (MR) yöntemi kullanılarak hem akciğer damarlarının hem de pıhtının kaynağı olan bacak toplardamarlarının aynı anda, tek bir incelemede değerlendirilebileceği gösterildi. Toplam 44 hastanın incelendiği çalışmada elde edilen sonuçlar oldukça dikkat çekti.
Kontrastlı MR yöntemi, hastaların tamamında akciğer embolisini doğru şekilde tespit ederken; kontrastsız MR yöntemi de yüksek doğruluk oranına ulaştı ve önemli ölçüde güvenilir sonuçlar verdi. Bu bulgular, radyasyon içermeyen MR yönteminin pıhtı hastalığını saptamada güçlü bir alternatif olduğunu ortaya koydu. Özellikle Radyasyon riskinin daha önemli olduğugenç hastalarda ve gebelerde MR’ın güvenli ve etkili bir seçenek olabileceği vurgulandı.
2025 Yılında Önemli Bir Uluslararası Atıf
Dr. Karabulut’un bu çalışması, 2025 yılında yayımlanan kapsamlı bir meta-analizde önemli bir uluslararası dergide atıf aldı. Toplam 2 bin 611 hastanın yer aldığı bu meta-analizde Dr. Karabulut ve ekibinin yaptığı MR çalışması da bulundu. Meta-analiz sonuçlarına göre, geleneksel V/Q sintigrafisi (nükleer tıp yöntemi) ile yapılan incelemelerde tanı konulamayan vakaların oranı yaklaşık yüzde 34,7 olarak bulundu. Yani her üç hastadan birinde sonuç net olmayabiliyordu. Buna karşılık MR temelli yöntemlerde tanı konulamayan oran yalnızca %3,31 olarak rapor edildi. Bu oran, MR tekniklerinin çok daha net ve yorumlanabilir sonuçlar verdiğini ortaya koydu.
Araştırmacılar, çalışmalar arasında raporlama farklılıkları olabileceğine dikkat çekmekle birlikte, MR yöntemlerinde "tanı konulamama" oranının belirgin şekilde düşük olduğunu özellikle vurguladı. Bu durum, MR’ın pıhtı hastalığının değerlendirilmesinde güçlü ve güvenilir bir alternatif olduğunu destekleyen önemli bir bulgu olarak değerlendirildi. Ayrıca, halen Porto Riko’da yapılmakta olan Amerikan Toraks Görüntüleme Derneğinin STR 2026 toplantısında da Karabulut ve ekibinin çalışmalarının MR’nin akciğer hastalıklarının tanısında kullanımına öncülük yaptığı vurgulandı.
Dr. Nevzat Karabulut’un kıdemli yazarı olduğu bu çalışma, pıhtı hastalığının radyasyon olmadan teşhis edilmesine yönelik önemli kilometre taşlarından biri olarak kabul edildi. Araştırmanın uluslararası dergilerde atıf alması, Türk bilim insanlarının dünya tıbbına yaptığı katkının güçlü bir örneği olarak öne çıktı.
Bilimsel Etki ve Uluslararası Tanınırlık
Uluslararası literatürde yankı uyandıran çalışma hakkında bilgi veren Dr. Nevzat Karabulut, "Akciğer embolisi, genellikle bacak damarlarındaki pıhtının dolaşımla akciğer damarını tıkaması sonucu oluşan ve zamanında fark edilmediğinde hayati tehlike oluşturabilen acil bir tıbbi durumdur. Bugün bu hastalıkları teşhis etmek için en sık Radyasyon içeren ilaçlı bilgisayarlı tomografi (BT) anjiyografisi kullanılıyor. Ancak Radyasyon ve kullanılan kontrastlı madde özellikle hamileler, genç hastalar ve kontrast maddeye alerjisi olan kişiler için risk oluşturabilir. Bu nedenle doktorlar radyasyon içermeyen ve daha güvenli alternatif yöntemler üzerinde çalışmaktadır. Ekibimle birlikte yapılan bilimsel çalışmanın büyük uluslararası araştırmalarda kaynak olarak gösterilmesi, o çalışmanın ne kadar değerli ve etkili olduğunu gösterir. Bu durum, yapılan araştırmanın sadece yayımlandığı dönemde değil, uzun vadede de bilim dünyasına katkı sağladığını ortaya koyar" dedi.
Sizlere daha iyi hizmet sunabilmek adına sitemizde çerez konumlandırmaktayız. Kişisel verileriniz, KVKK ve GDPR
kapsamında toplanıp işlenir. Sitemizi kullanarak, çerezleri kullanmamızı kabul etmiş olacaksınız.
En son gelişmelerden anında haberdar olmak için 'İZİN VER' butonuna tıklayınız.
2025 Yılında Önemli Bir Uluslararası Atıf
Özel Denizli Tekden Hastanesinde bir dönem başarılı çalışmalara imza atan Radyoloji Uzmanı Dr. Nevzat Karabulut ve ekibinin, akciğer damarındaki pıhtıların tanısına dadyasyonsuz çözüm sağlayan bilimsel çalışması uluslararası literatürde yankı uyandırdı.
Özel Denizli Tekden Hastanesinde bir dönem başarılı çalışmalara imza atan Radyoloji Uzmanı Dr. Nevzat Karabulut ve ekibinin, akciğer damarındaki pıhtıların tanısına dadyasyonsuz çözüm sağlayan bilimsel çalışması uluslararası literatürde yankı uyandırdı.
Bir dönem Denizli Tekden Hastanesinde de çalışan ve çalışmalarına ABD’de devam Dr. Nevzat Karabulut ve ekibinin yaptığı, British Journal of Radiology dergisinde yayımlanan "Diagnostic performance of contrast-enhanced and unenhanced combined pulmonary artery MRI and magnetic resonance venography techniques in the diagnosis of venous thromboembolism" başlıklı araştırmada manyetik rezonans (MR) yöntemi kullanılarak hem akciğer damarlarının hem de pıhtının kaynağı olan bacak toplardamarlarının aynı anda, tek bir incelemede değerlendirilebileceği gösterildi. Toplam 44 hastanın incelendiği çalışmada elde edilen sonuçlar oldukça dikkat çekti.
Kontrastlı MR yöntemi, hastaların tamamında akciğer embolisini doğru şekilde tespit ederken; kontrastsız MR yöntemi de yüksek doğruluk oranına ulaştı ve önemli ölçüde güvenilir sonuçlar verdi. Bu bulgular, radyasyon içermeyen MR yönteminin pıhtı hastalığını saptamada güçlü bir alternatif olduğunu ortaya koydu. Özellikle Radyasyon riskinin daha önemli olduğugenç hastalarda ve gebelerde MR’ın güvenli ve etkili bir seçenek olabileceği vurgulandı.
2025 Yılında Önemli Bir Uluslararası Atıf
Dr. Karabulut’un bu çalışması, 2025 yılında yayımlanan kapsamlı bir meta-analizde önemli bir uluslararası dergide atıf aldı. Toplam 2 bin 611 hastanın yer aldığı bu meta-analizde Dr. Karabulut ve ekibinin yaptığı MR çalışması da bulundu. Meta-analiz sonuçlarına göre, geleneksel V/Q sintigrafisi (nükleer tıp yöntemi) ile yapılan incelemelerde tanı konulamayan vakaların oranı yaklaşık yüzde 34,7 olarak bulundu. Yani her üç hastadan birinde sonuç net olmayabiliyordu. Buna karşılık MR temelli yöntemlerde tanı konulamayan oran yalnızca %3,31 olarak rapor edildi. Bu oran, MR tekniklerinin çok daha net ve yorumlanabilir sonuçlar verdiğini ortaya koydu.
Araştırmacılar, çalışmalar arasında raporlama farklılıkları olabileceğine dikkat çekmekle birlikte, MR yöntemlerinde "tanı konulamama" oranının belirgin şekilde düşük olduğunu özellikle vurguladı. Bu durum, MR’ın pıhtı hastalığının değerlendirilmesinde güçlü ve güvenilir bir alternatif olduğunu destekleyen önemli bir bulgu olarak değerlendirildi. Ayrıca, halen Porto Riko’da yapılmakta olan Amerikan Toraks Görüntüleme Derneğinin STR 2026 toplantısında da Karabulut ve ekibinin çalışmalarının MR’nin akciğer hastalıklarının tanısında kullanımına öncülük yaptığı vurgulandı.
Dr. Nevzat Karabulut’un kıdemli yazarı olduğu bu çalışma, pıhtı hastalığının radyasyon olmadan teşhis edilmesine yönelik önemli kilometre taşlarından biri olarak kabul edildi. Araştırmanın uluslararası dergilerde atıf alması, Türk bilim insanlarının dünya tıbbına yaptığı katkının güçlü bir örneği olarak öne çıktı.
Bilimsel Etki ve Uluslararası Tanınırlık
Uluslararası literatürde yankı uyandıran çalışma hakkında bilgi veren Dr. Nevzat Karabulut, "Akciğer embolisi, genellikle bacak damarlarındaki pıhtının dolaşımla akciğer damarını tıkaması sonucu oluşan ve zamanında fark edilmediğinde hayati tehlike oluşturabilen acil bir tıbbi durumdur. Bugün bu hastalıkları teşhis etmek için en sık Radyasyon içeren ilaçlı bilgisayarlı tomografi (BT) anjiyografisi kullanılıyor. Ancak Radyasyon ve kullanılan kontrastlı madde özellikle hamileler, genç hastalar ve kontrast maddeye alerjisi olan kişiler için risk oluşturabilir. Bu nedenle doktorlar radyasyon içermeyen ve daha güvenli alternatif yöntemler üzerinde çalışmaktadır. Ekibimle birlikte yapılan bilimsel çalışmanın büyük uluslararası araştırmalarda kaynak olarak gösterilmesi, o çalışmanın ne kadar değerli ve etkili olduğunu gösterir. Bu durum, yapılan araştırmanın sadece yayımlandığı dönemde değil, uzun vadede de bilim dünyasına katkı sağladığını ortaya koyar" dedi.
Kaynak: İHA
En Çok Okunan Haberler